Stage 2 TNBC: Understanding Poorly Differentiated Invasive Breast Cancer

L.Audent 16 views
Stage 2 TNBC: Understanding Poorly Differentiated Invasive Breast Cancer

Stage 2 TNBC: Understanding Poorly Differentiated Invasive Breast Cancer

Hey everyone, let’s dive deep into a topic that can sound super intimidating but is crucial to understand if you or someone you know is navigating the world of breast cancer: Stage 2 Triple Negative Invasive Poorly Differentiated Breast Cancer . Yeah, I know, a mouthful! But breaking it down is key. We’re talking about a specific type of breast cancer that requires a focused approach to treatment and understanding.

What Exactly is Stage 2 Triple Negative Invasive Poorly Differentiated Breast Cancer?

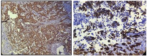
Alright guys, let’s get down to the nitty-gritty. When we talk about Stage 2 Triple Negative Invasive Poorly Differentiated Breast Cancer , we’re dissecting several key components that define this particular diagnosis. It’s not just one label; it’s a combination of characteristics that paint a clearer picture of the cancer’s behavior and how it might be treated. First off, the ‘Triple Negative’ part. This means the cancer cells lack the three common receptors that are often targeted in breast cancer treatment: the estrogen receptor (ER), the progesterone receptor (PR), and the HER2 protein. Why is this important? Because it means standard hormone therapies and HER2-targeted drugs won’t be effective. This significantly narrows down the treatment options, often leading to a reliance on chemotherapy as a primary treatment. It’s a tough one, for sure, because it tends to grow and spread more aggressively than other types of breast cancer. We’re talking about cells that don’t have those ‘on-off’ switches that doctors can usually flip.

Next, we have ‘Invasive’. This signifies that the cancer has broken through the original location where it started – usually the milk ducts or lobules – and has begun to spread into the surrounding breast tissue. This is different from ‘in situ’ cancers, which are contained. Invasive breast cancer has the potential to spread to other parts of the body, like lymph nodes and distant organs, through the bloodstream or lymphatic system. This is why early detection and treatment are so vital, guys. The sooner we catch it, the better the chances of controlling it before it has a chance to spread too far. Stage 2 specifically indicates that the cancer has grown to a certain size and/or has spread to nearby lymph nodes. It’s a stage where the cancer is no longer just a small, localized lump but has started to show more significant local involvement.

Finally, ‘Poorly Differentiated’. This term describes how the cancer cells look under a microscope compared to normal breast cells. ‘Well-differentiated’ cells look quite similar to normal cells and tend to grow slowly. ‘Poorly differentiated’ cells, on the other hand, look very abnormal and are often described as ‘high-grade’. These cells tend to grow and divide rapidly and are more likely to invade surrounding tissues and spread to distant parts of the body. So, when you put it all together – Triple Negative, Invasive, and Poorly Differentiated – you’re looking at a cancer that is aggressive, lacks specific targets for common therapies, and has already begun to spread beyond its original site. Stage 2 just tells us about the current extent of this aggressive disease. Understanding these terms is the first step in feeling empowered and informed about the diagnosis and treatment journey. It’s complex, but knowledge is power, right?

So, you’ve got this diagnosis, and it sounds like a lot, right? Well, when it comes to Stage 2 Triple Negative Invasive Poorly Differentiated Breast Cancer , the treatment approach is definitely tailored and often quite aggressive, but that doesn’t mean there aren’t effective strategies. Because this type of breast cancer lacks the ER, PR, and HER2 receptors, we can’t rely on hormone therapy or drugs that specifically target HER2. This is a major point, guys, and it means that chemotherapy is usually the cornerstone of treatment. The goal of chemotherapy is to kill cancer cells that are rapidly dividing, which these poorly differentiated cells tend to do. Often, chemotherapy will be given before surgery (neoadjuvant chemotherapy) to shrink the tumor, making it easier to remove surgically. This also gives doctors a chance to see how well the cancer responds to the chemo. If the tumor shrinks significantly or disappears completely with chemo, that’s a really positive sign!

Surgery is another critical piece of the puzzle. Depending on the size of the tumor and whether it has spread to the lymph nodes, a surgeon might perform a lumpectomy (removing just the tumor and a margin of healthy tissue) or a mastectomy (removing the entire breast). Often, if lymph nodes are involved, they will be removed as well during the surgery, usually through a procedure called a sentinel lymph node biopsy or an axillary lymph node dissection. The decision on the type of surgery depends on many factors, including the tumor size, location, and any lymph node involvement. After surgery, depending on the pathology report and how the cancer responded to neoadjuvant chemo, radiation therapy might be recommended. Radiation uses high-energy rays to kill any remaining cancer cells in the breast area or lymph nodes, further reducing the risk of recurrence.

Immunotherapy is also emerging as a powerful tool for TNBC. Some TNBCs have a marker called PD-L1, and if it’s present, certain immunotherapy drugs can help the patient’s own immune system fight the cancer. This is a really exciting area of research and treatment, offering new hope where options were once limited. Clinical trials are also super important for Stage 2 TNBC. Because it’s an aggressive subtype, researchers are constantly looking for new and better ways to treat it. Participating in a clinical trial might give you access to cutting-edge therapies that aren’t yet standard care. It’s all about building a comprehensive plan, and your oncology team will work closely with you to figure out the best sequence of treatments based on your specific situation. Remember, it’s a marathon, not a sprint, and having a solid treatment plan is your roadmap.

Understanding the Prognosis and Outlook

Now, let’s talk about prognosis and what the outlook looks like for Stage 2 Triple Negative Invasive Poorly Differentiated Breast Cancer . It’s totally natural to feel worried when you hear words like ‘aggressive’ and ‘poorly differentiated’, but it’s important to remember that prognosis is a complex equation with many variables. Stage 2 generally means the cancer is localized or has spread only to nearby lymph nodes, which is a better position to be in than if it had spread to distant parts of the body (Stage 4). The ‘Triple Negative’ aspect, as we’ve discussed, means fewer targeted treatment options, which can sometimes make it more challenging to treat compared to hormone-receptor-positive breast cancers. However, the advancements in chemotherapy and the increasing use of immunotherapy and PARP inhibitors (especially if there’s a BRCA gene mutation) are significantly improving outcomes.

‘Poorly differentiated’ is a grade that indicates faster growth and a higher potential for spread, which is why treatment often needs to be more aggressive. But again, the effectiveness of chemotherapy, surgery, and radiation can be very high, especially when started early. The response to neoadjuvant chemotherapy is a HUGE factor in prognosis. If the tumor shows a complete pathologic response (meaning no invasive cancer is found in the breast or lymph nodes after chemo and surgery), the long-term outlook is generally much better. Think of it as a sign that the treatment is working exceptionally well.

Other factors that influence prognosis include the patient’s overall health, age, and any genetic mutations present, like BRCA1 or BRCA2. These mutations can not only increase breast cancer risk but also affect how the cancer responds to certain treatments, like PARP inhibitors. The involvement of lymph nodes also plays a role; more lymph nodes affected typically means a slightly higher risk. But please, don’t let these details overwhelm you. The most important thing is to have open and honest conversations with your medical team. They can provide personalized information based on your specific scans, biopsy results, and overall health profile. Support systems are also critical – leaning on friends, family, or support groups can make a massive difference in navigating the emotional and physical journey. The medical field is constantly evolving, and new research is bringing hope and better outcomes all the time. Stay informed, stay hopeful, and know that you’re not alone in this fight.

Living With and Beyond Stage 2 TNBC

Dealing with Stage 2 Triple Negative Invasive Poorly Differentiated Breast Cancer isn’t just about the treatment itself; it’s also about how you live with it during treatment and what life looks like after treatment. This is a big one, guys, and focusing on your well-being throughout the entire process is super important. During treatment, which often involves chemotherapy, surgery, and potentially radiation, side effects are real. Chemotherapy can cause fatigue, nausea, hair loss, and an increased risk of infection. Managing these side effects is a huge part of the patient experience. Doctors often have medications to help with nausea, and simple things like staying hydrated, eating nutritious foods, and getting rest can make a big difference. It’s also crucial to listen to your body and communicate any side effects to your medical team so they can help you manage them.

For surgery, recovery times vary, but it’s important to follow your surgeon’s post-operative instructions carefully to ensure proper healing and reduce the risk of complications. If radiation therapy is part of the plan, it’s typically an outpatient procedure, but it can cause skin irritation and fatigue. Having a strong support system is absolutely invaluable during this phase. This includes emotional support from loved ones, but also practical help like rides to appointments or meal preparation. Connecting with other survivors through support groups can also provide a unique sense of community and shared understanding.

Once treatment is completed, the focus shifts to survivorship and monitoring for recurrence. This means regular follow-up appointments with your oncologist, which may include physical exams, mammograms, and sometimes other imaging tests. It’s important to be aware of any new or changing symptoms and report them promptly. Many survivors find it helpful to adopt a healthy lifestyle. This can include regular exercise (as tolerated), a balanced diet rich in fruits and vegetables, maintaining a healthy weight, and avoiding smoking and excessive alcohol. These habits not only contribute to overall health but may also play a role in reducing the risk of cancer recurrence.

Mental and emotional well-being is just as critical. The journey through cancer treatment can be emotionally taxing, and it’s common to experience anxiety, fear, or even depression. Seeking psychological support through therapy or counseling can be incredibly beneficial. Mindfulness practices, yoga, and meditation can also help manage stress and improve emotional resilience. Remember, survivorship is a new chapter, and it’s about rebuilding your life, staying proactive about your health, and finding joy and purpose. It’s a continuous journey, and taking care of yourself, both physically and mentally, is the most important thing you can do. You’ve got this!