Pneumothorax Outlet: Causes, Symptoms, And Treatment

L.Audent 93 views
Pneumothorax Outlet: Causes, Symptoms, And Treatment

Pneumothorax Outlet: Causes, Symptoms, and Treatment

Hey guys! Today, we’re diving deep into a topic that might sound a bit intimidating at first: pneumothorax outlet . You might be wondering, “What on earth is that?” Well, let’s break it down. Essentially, a pneumothorax outlet refers to a condition where air leaks into the space between your lung and your chest wall, causing your lung to collapse, either partially or completely. It’s a serious medical issue, but understanding it is the first step towards managing it. We’ll be exploring the common causes, the tell-tale symptoms that you should watch out for, and of course, the various treatment options available. So, buckle up, because we’re about to get into the nitty-gritty of pneumothorax outlet, and by the end of this, you’ll be much more informed and hopefully, less anxious about it. It’s all about empowering yourselves with knowledge, right?

Understanding the Causes of Pneumothorax Outlet

Alright, let’s get down to the nitty-gritty of what actually causes this pesky pneumothorax outlet . It’s not just one thing; there are several culprits that can lead to air getting into that pleural space – that’s the area between your lung and your chest wall, for those keeping score at home. The most common reason, especially for what we call a spontaneous pneumothorax , is when a small air blister, known as a bleb or bulla, on the surface of the lung ruptures. Think of it like a tiny balloon popping. These blebs are more common in certain folks, like tall, thin young men, and smokers. Yeah, you heard that right, smoking is a major risk factor here, guys. If you smoke, you’re significantly increasing your chances of developing a spontaneous pneumothorax. So, if you’re looking for another reason to quit, this might be it. On the flip side, we also have traumatic pneumothorax . This happens when there’s a direct injury to the chest. This could be anything from a car accident, a fall, a sports injury where you get a forceful blow to the chest, or even a stab wound. Medical procedures can also sometimes lead to a pneumothorax, though it’s much rarer. Things like biopsies of the lung, insertion of central venous catheters, or even certain types of mechanical ventilation can accidentally puncture the lung. And then there’s the really serious stuff, like a tension pneumothorax . This is a medical emergency where the air keeps building up in the chest cavity, putting immense pressure not only on the lung but also on the heart and major blood vessels. It’s like a one-way valve situation where air can get in but can’t get out, and it needs immediate attention. Understanding these different pathways is crucial because it helps doctors figure out the best course of action for treatment. So, while a ruptured bleb might be managed differently than a chest tube insertion after trauma, the underlying issue – air in the pleural space – is the same. It’s a complex puzzle, but knowing the pieces helps us put it together.

Recognizing the Symptoms of Pneumothorax Outlet

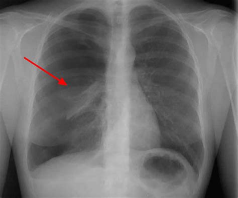
So, you’re wondering, “How will I know if I or someone I know is experiencing a pneumothorax outlet ?” That’s a super important question, guys, because recognizing the symptoms early can make a world of difference in getting prompt treatment. The classic symptom, and often the first one people notice, is sudden, sharp chest pain. It can feel like a stabbing pain, and it often gets worse when you take a deep breath, cough, or even sneeze. Imagine that! It’s like your chest is screaming at you to stop moving. Another major sign is shortness of breath, or what doctors call dyspnea. You might feel like you can’t catch your breath, or you’re breathing really rapidly and shallowly. This can range from mild discomfort to severe difficulty breathing, depending on how much your lung has collapsed. Some people might also experience a feeling of tightness in their chest. If the pneumothorax is larger, or if it’s progressing to a tension pneumothorax (which, as we mentioned, is a serious emergency), you might notice other worrying signs. These can include a rapid heart rate (tachycardia), bluish discoloration of the skin and lips (cyanosis) due to lack of oxygen, dizziness, and even fainting or loss of consciousness. In some cases, especially with a smaller, spontaneous pneumothorax, the symptoms might be milder and might even resolve on their own. But guys, don’t ever assume it’s nothing! It’s always best to get checked out by a medical professional if you have any concerns. A doctor will typically listen to your chest with a stethoscope and might hear decreased or absent breath sounds on the affected side. They’ll likely order imaging tests, like a chest X-ray, which is usually the go-to diagnostic tool for confirming a pneumothorax. Sometimes, a CT scan might be needed for a more detailed view. The key takeaway here is to pay attention to your body. Sudden chest pain and difficulty breathing are not things to brush off. They are your body’s way of telling you something is wrong, and it’s time to seek medical help.

Treatment Options for Pneumothorax Outlet

Now that we’ve talked about what causes pneumothorax outlet and what the symptoms look like, let’s shift gears and discuss the various ways doctors tackle this condition. The treatment approach really depends on a few factors: how large the pneumothorax is, whether it’s causing significant symptoms, and if it’s a primary spontaneous pneumothorax (meaning it happened without any underlying lung disease) or a secondary one (which occurs in people with existing lung conditions like COPD or emphysema). For very small, asymptomatic pneumothoraces, sometimes doctors might just monitor the situation. They’ll keep a close eye on you, maybe with repeat chest X-rays, and see if your body can reabsorb the air on its own. This is often the case when the lung collapse is minimal, and you’re not experiencing much distress. However, if the pneumothorax is causing noticeable symptoms like shortness of breath or chest pain, or if it’s larger, the next step is usually a procedure called needle aspiration or chest tube insertion. Needle aspiration involves inserting a needle into the chest cavity to withdraw some of the trapped air. It’s a less invasive option and can be effective for smaller pneumothoraces. For larger or more persistent pneumothoraces, a chest tube is often the preferred method. This involves inserting a flexible tube into the space between the lung and the chest wall. The tube is then connected to a special drainage system that allows the air to escape from the pleural space, usually under gentle suction. This helps the lung re-expand. Once the lung has fully re-expanded and air is no longer leaking, the chest tube can be removed. In cases of recurrent pneumothorax (meaning it keeps coming back) or a persistent air leak, surgery might be recommended. This is often done using a minimally invasive technique called video-assisted thoracoscopic surgery (VATS). During VATS, surgeons can identify the source of the air leak, often a small bleb, and remove it. They might also perform a procedure called pleurodesis, where they create inflammation between the two layers of the pleura (the lining of the lungs and chest cavity). This causes the layers to stick together, effectively obliterating the pleural space and preventing future air leaks. It sounds a bit drastic, but it’s highly effective in preventing recurrences. The goal of all these treatments, guys, is to get that lung re-inflated and functioning properly again, while also reducing the risk of it happening again in the future. Your doctor will tailor the treatment plan specifically for you based on your individual situation.

Living with and Preventing Pneumothorax Outlet

So, you’ve been diagnosed with pneumothorax outlet , or maybe you’re just curious about how to keep your lungs happy and healthy. Let’s talk about what life looks like post-diagnosis and, more importantly, how we can try to prevent this from happening in the first place. After a pneumothorax, especially if you’ve had a chest tube or surgery, recovery is key. Your doctor will give you specific instructions, but generally, you’ll need to take it easy for a while. Avoid strenuous activities, heavy lifting, and anything that might put extra strain on your chest. Your lung needs time to heal and re-expand properly. Pain management is also important during recovery, and your doctor will prescribe appropriate medication. It’s also really important to follow up with your healthcare provider for check-ups and any recommended imaging to ensure your lung has fully recovered. Now, let’s talk prevention, because that’s always better than a cure, right? For primary spontaneous pneumothorax, the biggest and most impactful preventive measure is quitting smoking . I cannot stress this enough, guys. Smoking dramatically increases your risk of developing blebs and bullae, which are often the source of spontaneous pneumothorax. If you smoke, make quitting your absolute top priority. Seek out resources, talk to your doctor about cessation programs, and find a support system. It’s tough, but your lung health is worth it. If you have a history of pneumothorax, especially a recurrent one, your doctor might discuss surgical options like VATS with pleurodesis to significantly reduce the chances of it happening again. For those whose pneumothorax was due to trauma, prevention is about avoiding those traumatic injuries in the first place – being careful in sports, driving safely, and taking precautions in potentially hazardous situations. It’s also important to manage any underlying lung conditions effectively, like COPD or asthma, as these can increase the risk of secondary pneumothorax. Regular check-ups and adhering to your treatment plan for those conditions are crucial. Ultimately, living with and preventing pneumothorax outlet is about making informed choices about your health, seeking prompt medical attention when needed, and taking proactive steps, especially when it comes to smoking cessation. Your lungs work hard for you, so let’s do our best to take care of them!