Metastatic Triple-Negative Breast Cancer (TNBC) Explained

L.Audent 30 views
Metastatic Triple-Negative Breast Cancer (TNBC) Explained

Metastatic Triple-Negative Breast Cancer (TNBC) Explained

Hey everyone, let’s dive into a topic that’s super important but also a bit complex: metastatic triple-negative breast cancer , often called mTNBC . Guys, this is a really aggressive form of breast cancer, and understanding it is the first step in facing it head-on. So, what exactly is mTNBC? Well, breast cancer is usually categorized based on whether it’s fueled by hormones (estrogen and progesterone) or by the HER2 protein. Triple-negative breast cancer, on the other hand, is negative for all three – meaning it doesn’t have estrogen receptors, progesterone receptors, or an overabundance of HER2 protein. This lack of specific targets makes it trickier to treat with the therapies that work for other types of breast cancer. When we talk about metastatic mTNBC, it means the cancer has spread from its original location in the breast to other parts of the body, like the lungs, liver, bones, or brain. This spread, or metastasis, is what makes it a more advanced stage and, unfortunately, often harder to cure. The journey with mTNBC can be challenging, but knowledge is power, and staying informed is crucial for patients, caregivers, and healthcare providers alike. We’re going to break down what this means, the challenges involved, and the latest advancements that offer hope.

Understanding the “Triple-Negative” Aspect

Let’s get real about what makes triple-negative breast cancer (TNBC) so unique and, frankly, a bit of a tough nut to crack. The name itself, “triple-negative,” tells us a lot. In most breast cancers, doctors look for three specific things under a microscope or through specialized tests: the estrogen receptor (ER), the progesterone receptor (PR), and the HER2 protein. If the cancer cells have receptors for estrogen or progesterone, it means these hormones can act like fuel, helping the cancer grow. Hormonal therapies, like tamoxifen or aromatase inhibitors, can then be used to block this fuel supply. Similarly, if the cancer has too much HER2 protein (HER2-positive), targeted drugs like Herceptin can be used to attack those specific cells. But with TNBC, the cancer cells test negative for ER, PR, and HER2. This is a huge deal, guys, because it means the standard hormonal therapies and HER2-targeted treatments just don’t work . It’s like trying to use a key that doesn’t fit the lock. This absence of specific targets means that treatment options are often more limited, and doctors typically rely more on chemotherapy, which, while effective for many, can have significant side effects and doesn’t always offer the precision of targeted therapies. Furthermore, TNBC tends to be more aggressive and has a higher chance of recurring, especially in the first few years after diagnosis, compared to other types of breast cancer. It’s also more common in certain populations, including younger women, women of African descent, and those with a BRCA1 gene mutation. Understanding this triple-negative characteristic is fundamental because it dictates the treatment pathways and the research directions for this specific subtype of breast cancer. It’s a complex puzzle, but the more we understand the pieces, the better we can work towards solutions and support for those affected.

The Challenge of Metastasis in TNBC

When metastatic triple-negative breast cancer (mTNBC) enters the picture, the game changes significantly. Metastasis is the process where cancer cells break away from the original tumor, travel through the bloodstream or lymphatic system, and form new tumors in other parts of the body. For mTNBC, this spread can happen relatively quickly compared to some other breast cancer subtypes, which adds to its aggressive nature. Common sites for metastasis include the lungs, liver, bones, and brain. Each of these locations can present unique symptoms and challenges. For instance, lung metastases might cause shortness of breath, liver metastases could lead to jaundice or abdominal pain, bone metastases can result in severe pain and fractures, and brain metastases can cause headaches, seizures, or neurological changes. The presence of metastatic disease means the cancer is no longer localized and has become a systemic illness. This inherently makes it much more difficult, and often impossible, to cure completely. The primary goal of treatment in the metastatic setting shifts from cure to control . This means aiming to shrink tumors, slow their growth, manage symptoms, improve quality of life, and extend survival for as long as possible. The challenge with mTNBC is compounded by the lack of specific molecular targets mentioned earlier. Chemotherapy remains a cornerstone of treatment, but finding the right combination and managing side effects is critical. The journey for patients with mTNBC is often one of resilience, requiring a multidisciplinary approach involving oncologists, surgeons, radiologists, palliative care specialists, and mental health professionals. Research is constantly exploring new therapeutic avenues, including immunotherapy and novel chemotherapy combinations, to combat the formidable challenge of metastasis in this aggressive cancer. The fight against mTNBC is a continuous effort to find more effective ways to stop its spread and improve outcomes for patients facing this advanced stage.

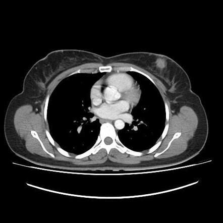
Symptoms and Diagnosis of Metastatic TNBC

Spotting metastatic triple-negative breast cancer (mTNBC) isn’t always straightforward, as its symptoms can be varied and sometimes mimic other conditions. Generally, when breast cancer becomes metastatic, it means it has spread beyond the breast and the nearby lymph nodes. So, symptoms can appear in different parts of the body where the cancer has traveled. If the cancer has spread to the lungs , you might experience persistent coughing, shortness of breath, or chest pain. Liver metastases can show up as jaundice (yellowing of the skin and eyes), abdominal pain or swelling, nausea, or loss of appetite. Bone metastases are often characterized by bone pain, which can be constant and severe, and sometimes pathological fractures, where a bone breaks with minimal or no trauma. If the cancer reaches the brain , symptoms can include persistent headaches, blurred vision, dizziness, seizures, or changes in personality or behavior. It’s also possible to have general symptoms like extreme fatigue, unexplained weight loss, or a feeling of being generally unwell. The diagnosis of mTNBC involves a comprehensive approach. It usually starts with a thorough medical history and physical examination. Imaging tests are crucial; these might include CT scans, PET scans, bone scans, or MRIs to detect tumors in other parts of the body and determine the extent of the spread. A biopsy of a suspicious area in another organ is often necessary to confirm that the cancer is indeed breast cancer that has metastasized, and importantly, that it is triple-negative. This involves testing the biopsy sample for ER, PR, and HER2 status. Sometimes, genetic testing of the tumor or blood can provide additional information about specific mutations that might be targetable or indicate inherited predispositions like BRCA mutations. The journey to diagnosis can be stressful, but getting an accurate and timely diagnosis is paramount for developing the most effective treatment plan. Doctors will work diligently to piece together all the information to understand the full picture of the disease.

The Diagnostic Process: What to Expect

Guys, let’s talk about the diagnostic process for metastatic triple-negative breast cancer (mTNBC) . When your doctor suspects that your breast cancer might have spread, or if you’re presenting with symptoms that point towards metastasis, a series of tests will be initiated. It’s not just one single test; it’s a whole investigative journey to get a clear picture. First off, they’ll likely start with a physical examination and ask detailed questions about your symptoms and medical history. Then come the imaging studies . These are super important for visualizing what’s going on inside your body. You might undergo a CT scan (Computed Tomography), which uses X-rays to create detailed cross-sectional images of your body. This can help detect tumors in organs like the lungs, liver, or adrenal glands. A bone scan is specifically designed to check if the cancer has spread to your bones. You’ll be injected with a small amount of radioactive material that attaches to areas of bone activity, and a special camera will detect where this material has gathered, highlighting potential metastatic sites. A PET scan (Positron Emission Tomography) is another powerful tool. It uses a radioactive tracer that your body absorbs, and cancer cells tend to absorb more of this tracer, making them light up on the scan. PET scans can help identify cancer throughout the body. An MRI (Magnetic Resonance Imaging) might be used, especially if brain or bone involvement is suspected, as it provides very detailed images of soft tissues and bones. If these scans show suspicious areas, the next crucial step is a biopsy . This is the definitive way to confirm cancer and its type. A small sample of tissue is taken from the suspected metastatic site (e.g., a nodule in the lung, a lesion in the liver or bone). This sample is then sent to a lab for analysis. Pathologists will examine the cells under a microscope and perform crucial tests to determine if the cancer cells are indeed from the breast and, critically, if they are triple-negative (negative for ER, PR, and HER2). Sometimes, a biopsy of the original breast tumor might be redone or reviewed to ensure the triple-negative status is accurate. In some cases, liquid biopsies – analyzing cancer DNA shed into the blood – are becoming more common and can provide insights into the cancer’s genetic makeup and mutations, which might guide treatment decisions. Genetic counseling and testing may also be recommended, especially if there’s a family history of breast or ovarian cancer or if BRCA mutations are suspected, as these can impact treatment options and family planning. It’s a thorough process, and while it can feel overwhelming, remember that each step is designed to gather the vital information needed to fight this disease effectively. It’s all about getting the right information to the right people to make the best treatment choices.

Treatment Approaches for Metastatic TNBC

Dealing with metastatic triple-negative breast cancer (mTNBC) requires a robust and often multi-faceted treatment strategy, because, as we’ve discussed, it lacks the specific targets that make other breast cancers more manageable with targeted therapies or hormone treatments. The primary goal here shifts from cure to controlling the cancer, managing symptoms, and enhancing the patient’s quality of life. Chemotherapy remains a cornerstone of mTNBC treatment. Doctors often use various chemotherapy drugs, either alone or in combination, to kill cancer cells throughout the body. The choice of chemotherapy depends on factors like previous treatments, the extent of the disease, and the patient’s overall health. While effective, chemotherapy can come with significant side effects, such as fatigue, nausea, hair loss, and increased risk of infection, which need careful management. In recent years, there have been significant advancements, and immunotherapy has emerged as a promising option, particularly for certain patients with mTNBC. Drugs like pembrolizumab (Keytruda) can be used in combination with chemotherapy for patients whose tumors express PD-L1, a protein that can help cancer cells evade the immune system. Immunotherapy works by helping the patient’s own immune system recognize and attack cancer cells. This has been a game-changer for some, offering a different way to fight the disease. Targeted therapies are also being explored and utilized in mTNBC, though they are less common than in other breast cancer types. For instance, if specific genetic mutations are found in the tumor, drugs targeting those mutations might be an option. PARP inhibitors, like olaparib (Lynparza) and talazoparib (Talzenna), can be effective for patients with a BRCA mutation, whether inherited or acquired. These drugs work by interfering with DNA repair mechanisms in cancer cells, leading to their death. Clinical trials are absolutely critical in the fight against mTNBC. They offer patients access to cutting-edge treatments and experimental therapies that are not yet widely available. Researchers are constantly investigating new drug combinations, novel targeted agents, and innovative immunotherapy approaches. For patients with mTNBC, participating in a clinical trial can be a valuable option, potentially offering access to the latest scientific advancements. Finally, palliative care and supportive care are integral throughout the treatment journey. This isn’t just about end-of-life care; palliative care focuses on managing symptoms, controlling pain, reducing side effects from treatment, and improving overall well-being at any stage of the disease. It’s about ensuring the best possible quality of life for patients and their loved ones. The treatment landscape for mTNBC is constantly evolving, and a personalized approach, often involving a multidisciplinary team, is key to navigating this complex disease.

Emerging Therapies and Clinical Trials

When we talk about the future of fighting metastatic triple-negative breast cancer (mTNBC) , the buzz is all about emerging therapies and the crucial role of clinical trials . Guys, this is where the real hope lies for new and better ways to manage this aggressive cancer. Traditional chemotherapy has been the backbone, but it’s not always enough, and the side effects can be tough. That’s why researchers are working tirelessly to develop treatments that are more targeted, more effective, and potentially less toxic. One of the most exciting areas is immunotherapy . Beyond PD-1/PD-L1 inhibitors, scientists are exploring combinations of immunotherapies, or using them alongside chemotherapy or other agents, to boost the immune system’s response even further. They’re also looking at different types of immune cells and how to engineer them to better fight cancer, like CAR T-cell therapy, although this is still largely experimental for solid tumors like breast cancer. Another frontier is antibody-drug conjugates (ADCs) . Think of these as ‘smart bombs’ – they’re antibodies that are attached to powerful chemotherapy drugs. The antibody acts like a homing device, seeking out specific proteins on cancer cells and delivering the chemo directly to them, sparing healthy cells as much as possible. Several ADCs are showing promise in clinical trials for mTNBC, targeting proteins like TROP2. Targeted therapies are also evolving. As we learn more about the specific genetic mutations that can drive mTNBC, new drugs are being developed to hit those targets precisely. This includes exploring novel ways to target DNA repair pathways, cell signaling molecules, and other vulnerabilities within cancer cells. PARP inhibitors , as mentioned, are a great example for BRCA-mutated cancers, but research is ongoing to see if they can be effective in other contexts or in combination with other treatments. Clinical trials are the engine driving all this innovation. They are essential for testing these new therapies in humans to see if they are safe and effective. For patients with mTNBC, especially those who haven’t responded well to standard treatments, clinical trials offer a chance to access potentially life-saving therapies that are still in the development pipeline. It’s vital for patients to discuss clinical trial options with their oncologists. There are trials looking at novel drug combinations, different dosing schedules, and even new treatment modalities like cancer vaccines or oncolytic viruses. Finding the right trial can be a complex process, but resources like clinicaltrials.gov, patient advocacy groups, and specialized cancer centers can provide valuable guidance. The landscape of mTNBC treatment is changing rapidly, and staying informed about these advancements and participating in clinical trials when appropriate are key strategies in the ongoing fight against this disease. It’s about pushing the boundaries of what’s possible and bringing hope to patients.

Living with Metastatic TNBC

Living with metastatic triple-negative breast cancer (mTNBC) is undeniably a profound journey, and it’s about so much more than just medical treatments. It involves navigating the physical, emotional, and practical challenges that come with a chronic or advanced illness. For patients and their loved ones, it’s a continuous process of adaptation, resilience, and finding ways to maintain quality of life. Emotional and mental well-being are paramount. Receiving an mTNBC diagnosis can trigger a wave of emotions – fear, anxiety, sadness, anger, and uncertainty. It’s absolutely crucial for patients to have access to mental health support, whether through counseling, support groups, or talking with loved ones. Sharing experiences with others who understand can be incredibly validating and empowering. Building a strong support system, including friends, family, and fellow patients, is a powerful coping mechanism. Symptom management is another huge piece of the puzzle. mTNBC and its treatments can cause a variety of symptoms, such as pain, fatigue, nausea, and lymphedema. Working closely with the healthcare team, including palliative care specialists, is essential for managing these symptoms effectively. This might involve medication, physical therapy, dietary adjustments, or complementary therapies like acupuncture or massage, all aimed at improving comfort and daily functioning. Maintaining a sense of normalcy and purpose can be incredibly beneficial. While life will inevitably change, finding ways to engage in activities that bring joy and fulfillment is important. This could mean continuing with work part-time if possible, pursuing hobbies, spending quality time with family, or focusing on personal growth. Setting realistic goals and celebrating small victories can provide a sense of accomplishment and forward momentum. Navigating practicalities is also a significant aspect. This can include managing healthcare appointments, understanding insurance coverage, financial planning, and making necessary adjustments at home or work. Organizations dedicated to breast cancer support can offer invaluable resources and guidance in these areas. Nutrition and physical activity , tailored to the individual’s condition and energy levels, play a vital role in maintaining strength and well-being. A balanced diet can support the body during treatment, and gentle exercise can help combat fatigue and improve mood. Ultimately, living with mTNBC is about embracing a holistic approach to health and well-being. It requires courage, support, and a focus on living as fully as possible, day by day. The medical community is continuously working to improve treatments, but the strength and spirit of those living with the disease are truly inspiring.

Building a Support System

Guys, one of the most critical, yet often overlooked, aspects of managing metastatic triple-negative breast cancer (mTNBC) is building a robust support system . Let’s be real, facing mTNBC is incredibly challenging, and no one should have to go through it alone. Your support system is your lifeline, your cheering squad, and your safe space all rolled into one. First and foremost, family and close friends are often the core of this system. Open and honest communication with them is key. Let them know what you need – whether it’s help with errands, a listening ear, or just someone to sit with you. Don’t be afraid to lean on them; that’s what they’re there for. Beyond your immediate circle, connecting with other mTNBC patients can be incredibly powerful. Online forums, social media groups, and in-person support groups provide a unique sense of community. Sharing experiences, tips, and even fears with people who truly get it can be incredibly validating and reduce feelings of isolation. You can learn so much from each other, and often find practical advice on managing side effects or navigating the healthcare system. Healthcare professionals are also a vital part of your support system. This includes your oncologist, nurses, social workers, therapists, and palliative care team. Don’t hesitate to ask them questions, express concerns, and seek their guidance. They are there not only to treat the cancer but also to support your overall well-being. Patient advocacy organizations are fantastic resources. Groups like the National Breast Cancer Foundation, Susan G. Komen, and many others offer a wealth of information, resources, financial assistance programs, and connections to support networks. They are dedicated to empowering patients and driving research. Consider also engaging mental health professionals , such as therapists or counselors specializing in oncology. They can provide tools and strategies for coping with the emotional toll of mTNBC, managing anxiety, and maintaining mental resilience. Building this network takes time and effort, but it’s an investment in your emotional and physical health. Remember, it’s okay to ask for help, and it’s strong to build a community around yourself. Your support system is your armor, helping you face the challenges of mTNBC with greater strength and hope.

Conclusion

Metastatic triple-negative breast cancer (mTNBC) is a formidable challenge, characterized by its aggressive nature and the absence of the common targets found in other breast cancer subtypes. The journey from diagnosis through treatment and into survivorship is complex, marked by unique symptoms, a need for comprehensive diagnostic evaluation, and evolving treatment strategies. While the lack of ER, PR, and HER2 receptors limits traditional therapeutic options, advancements in chemotherapy, the growing role of immunotherapy, targeted therapies, and ongoing clinical trials offer increasing hope. The focus is shifting towards personalized medicine, aiming to control the disease, manage symptoms, and improve the quality of life for patients. Equally important is the cultivation of a strong support system – encompassing family, friends, fellow patients, and healthcare professionals – to navigate the physical and emotional landscape of living with mTNBC. The fight against mTNBC is a testament to scientific innovation and human resilience, with ongoing research promising even more effective strategies in the future. Staying informed, advocating for oneself, and leaning on a supportive community are key components in facing this disease with strength and determination.