Latest Pseudomyxoma Peritonei News & Updates

L.Audent 136 views
Latest Pseudomyxoma Peritonei News & Updates

Latest Pseudomyxoma Peritonei News & Updates

Hey everyone! Let’s dive into the world of Pseudomyxoma Peritonei (PMP) , often abbreviated as pseiidmse sesdtirolse news in some circles, although the correct terminology is crucial for understanding this rare condition. Guys, this isn’t your everyday health topic, but for those affected, their loved ones, or anyone interested in rare cancers, staying informed is absolutely key. We’re going to break down what PMP is, explore recent developments, and discuss why staying updated with pseiidmse sesdtirolse news – or rather, Pseudomyxoma Peritonei news – is so important for patients and researchers alike. This is a condition that often flies under the radar, but the impact it has on individuals is profound, making awareness and access to the latest information absolutely vital. We’ll explore the nuances of diagnosis, treatment advancements, and the ongoing research that offers hope and drives progress in managing this complex disease.

Understanding Pseudomyxoma Peritonei (PMP)

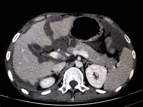
So, what exactly is Pseudomyxoma Peritonei ? For starters, it’s a rare disease that primarily affects the peritoneum, which is the lining of the abdominal cavity. Essentially, it’s characterized by the gradual accumulation of a gelatinous substance, known as mucin, within the abdomen. This mucin is produced by mucinous tumors, most commonly originating from the appendix, but sometimes from the ovaries or other abdominal organs. Over time, this mucin builds up, causing the abdomen to distend and leading to a host of uncomfortable and sometimes severe symptoms. Think of it like a slow-growing, jelly-like invasion that puts pressure on your organs. It’s important to note that PMP is not a single disease but rather a spectrum of conditions, often classified by the grade of the tumor cells and the amount of mucin present. This is why understanding the specifics of each case, and thus the latest pseiidmse sesdtirolse news , is so critical for personalized treatment.

The rarity of PMP means that many healthcare professionals may have limited experience with it. Diagnosis can often be challenging and delayed, with symptoms sometimes being mistaken for other, more common abdominal issues like appendicitis, ovarian cysts, or irritable bowel syndrome. This diagnostic delay can be incredibly stressful for patients. The insidious nature of PMP means that by the time it’s correctly identified, the disease may have spread significantly within the abdominal cavity. The accumulation of mucin can displace organs, impede digestion, and cause pain and discomfort. Furthermore, the mucinous material itself can become thick and viscous, leading to bowel obstruction, hernias, and other serious complications. The psychological toll on patients and their families during this diagnostic odyssey cannot be overstated. It’s a journey filled with uncertainty, fear, and the constant search for answers and effective treatments. This is precisely why staying connected to reliable sources of Pseudomyxoma Peritonei news is a lifeline for many, offering not just information but also a sense of community and shared experience.

Because PMP is so rare, specialized treatment centers are often the best places for patients to seek care. These centers typically have multidisciplinary teams of surgeons, oncologists, radiologists, and pathologists who are experienced in managing this complex disease. Treatment often involves extensive surgery to remove as much of the tumor and mucin as possible, often followed by hyperthermic intraperitoneal chemotherapy (HIPEC), where heated chemotherapy drugs are delivered directly into the abdominal cavity. The goal is to eradicate any remaining cancer cells and prevent recurrence. However, PMP can recur, and long-term surveillance is usually necessary. The advancements in surgical techniques and HIPEC protocols are constantly evolving, and keeping up with the latest pseiidmse sesdtirolse news from these centers is paramount for patients to access the most cutting-edge and potentially life-saving treatments available. The ongoing research into the genetic and molecular underpinnings of PMP also holds immense promise for developing targeted therapies in the future, offering new avenues of hope for those diagnosed with this challenging condition.

Recent Advancements in PMP Treatment

Guys, the medical field never sleeps, and that’s especially true for rare diseases like PMP. Staying updated on Pseudomyxoma Peritonei news means knowing about the cutting-edge treatments that are improving outcomes for patients. One of the most significant areas of progress has been in surgical techniques. The standard of care for PMP often involves cytoreductive surgery, aiming to remove all visible tumor implants and mucin from the abdominal cavity. This is a massive undertaking , often requiring extensive and complex procedures. Surgeons are continually refining these techniques, developing minimally invasive approaches where possible, and improving the precision of tumor removal. The goal is always to achieve a ‘complete’ or near-complete cytoreduction, which is strongly linked to better survival rates and quality of life. We’re seeing advancements in imaging guidance during surgery and a better understanding of the anatomical spread of PMP, allowing for more targeted and effective resections. These surgical innovations are critical because even small residual tumor cells can lead to recurrence, so maximizing the removal of diseased tissue is paramount.

Another huge leap forward in PMP treatment is the optimization of Hyperthermic Intraperitoneal Chemotherapy (HIPEC) . As mentioned, this involves bathing the abdominal cavity with heated chemotherapy drugs immediately after surgery. The heat helps the chemotherapy penetrate tissues more effectively and kill any microscopic cancer cells that may have been left behind. Recent research and clinical practice have focused on refining HIPEC protocols – determining the optimal drug combinations, temperatures, and durations of treatment for PMP. There’s also ongoing work to identify patients who are most likely to benefit from HIPEC and to minimize potential side effects, which can include nausea, fatigue, and kidney problems. The development of more targeted chemotherapy agents and novel drug delivery systems is also an active area of investigation. The goal is to make HIPEC even more effective while making it more tolerable for patients, ensuring that the treatment itself doesn’t unduly compromise their quality of life. Keeping abreast of the latest pseiidmse sesdtirolse news related to HIPEC protocols can provide patients with crucial information about their treatment options and what to expect during recovery.

Beyond surgery and HIPEC, researchers are exploring novel therapeutic strategies . This includes looking into targeted therapies that attack specific molecular pathways involved in PMP growth and metastasis. Identifying the genetic mutations that drive PMP is a key focus, as this knowledge can pave the way for drugs that specifically inhibit these mutations. Immunotherapy, which harnesses the body’s own immune system to fight cancer, is another promising avenue being investigated, though PMP has historically been considered less responsive to immunotherapy compared to some other cancers. However, with a deeper understanding of the tumor microenvironment, new approaches to immunotherapy for PMP might emerge. Clinical trials are the backbone of this research, offering patients access to experimental treatments that could become the standard of care in the future. For patients and their families, following pseiidmse sesdtirolse news from reputable sources like PMP support groups and research institutions is essential for staying informed about these ongoing clinical trials and potentially life-changing experimental therapies. The constant pursuit of new knowledge and innovative treatments underscores the dedication of the medical community to improving the lives of those affected by PMP.

The Importance of Patient Support and Community

Guys, when you’re dealing with a rare disease like Pseudomyxoma Peritonei, information is power, but support is everything . Navigating the complexities of PMP, from diagnosis to treatment and long-term follow-up, can be an incredibly isolating and overwhelming experience. This is where patient support groups and online communities become absolutely indispensable. They offer a safe space for individuals to connect with others who truly understand what they’re going through. Sharing personal stories, treatment experiences, and practical tips can provide immense comfort and reduce feelings of isolation. It’s like finding your tribe, people who get the unique challenges and triumphs associated with this journey.

These communities are often the first place to hear about the latest Pseudomyxoma Peritonei news , not just from a medical perspective, but also from the patient’s lived experience. Members share insights into managing side effects, navigating insurance issues, and finding emotional support. They become a crucial source of practical advice that complements the medical information provided by healthcare professionals. For instance, someone might share a successful strategy for managing post-surgical pain or a helpful dietary change that alleviated digestive issues. These peer-to-peer exchanges can be incredibly empowering, equipping patients with knowledge and confidence to take a more active role in their care. The collective wisdom found in these groups is often invaluable, offering a different lens through which to view the medical information gleaned from formal channels.

Furthermore, patient advocacy plays a vital role in driving research and improving care. By uniting their voices, patients and their families can raise awareness about PMP, encouraging more research funding and prompting healthcare systems to prioritize the development of specialized treatment centers and protocols. Advocacy efforts can directly influence the direction of future research by highlighting the most pressing needs and concerns of the patient community. When researchers and clinicians hear directly from patients about the impact of the disease and the limitations of current treatments, it can lead to more relevant and impactful studies. Following pseiidmse sesdtirolse news through advocacy organizations can keep you informed about policy changes, fundraising efforts, and opportunities to get involved. These groups often work tirelessly to connect patients with resources, facilitate communication between patients and medical experts, and advocate for better access to care and clinical trials. The solidarity and shared purpose within the PMP community are powerful forces for positive change, demonstrating that even in the face of rare diseases, collective action can make a significant difference.

Looking Ahead: The Future of PMP Research

When we talk about the future of Pseudomyxoma Peritonei news , we’re really talking about the ongoing quest for better understanding, more effective treatments, and ultimately, a cure. The scientific community is actively engaged in unraveling the complex biology of PMP . This includes delving into the genetic and molecular underpinnings of how these mucinous tumors form and spread. Researchers are working to identify specific mutations and cellular pathways that are crucial for PMP’s development and progression. This detailed knowledge is the foundation for developing targeted therapies , drugs that can specifically attack cancer cells by interfering with these critical pathways, potentially leading to more effective treatments with fewer side effects compared to traditional chemotherapy. Imagine treatments tailored precisely to the individual’s tumor characteristics – that’s the future we’re striving for.

Another exciting frontier is the exploration of novel drug delivery systems . Beyond HIPEC, scientists are investigating innovative ways to deliver anti-cancer agents directly to the peritoneal cavity or tumor sites. This could involve specialized nanoparticles, drug-eluting implants, or other advanced technologies designed to concentrate medication where it’s needed most, minimizing systemic exposure and toxicity. The goal is to maximize therapeutic impact while improving patient tolerability . Think about treatments that are not only powerful against the cancer but also gentler on the body, allowing patients to maintain a better quality of life during treatment. This area of research is particularly crucial for a disease like PMP, where the challenge is often to reach and eradicate widespread microscopic disease within the abdominal cavity.

Furthermore, advances in imaging and diagnostic tools are continuously being made. Better imaging techniques can help in earlier and more accurate diagnosis, precise staging of the disease, and more effective monitoring of treatment response. The ability to detect even very small amounts of residual disease after surgery is critical for guiding subsequent treatment decisions and predicting the risk of recurrence. Researchers are also looking into biomarkers – substances in the blood or tissue that can indicate the presence of cancer or predict how it might behave. Identifying reliable biomarkers for PMP could revolutionize how the disease is monitored and managed, potentially leading to earlier interventions and personalized treatment strategies. Staying informed about these developments through reliable pseiidmse sesdtirolse news channels is key for patients to understand the trajectory of research and the potential future treatments on the horizon. The dedicated work of researchers and clinicians worldwide offers a beacon of hope for improved outcomes and a brighter future for those affected by Pseudomyxoma Peritonei.

In conclusion, keeping up with Pseudomyxoma Peritonei news , even with the less common initial search term pseiidmse sesdtirolse news , is crucial for patients, caregivers, and the medical community. The ongoing research, surgical advancements, and strong patient support networks are all vital components in the fight against this rare disease. Stay informed, stay connected, and stay hopeful!