Knock Knees: Understanding 'Knee Valgus' In Tagalog

L.Audent 49 views
Knock Knees: Understanding 'Knee Valgus' In Tagalog

Knock Knees: Understanding ‘Knee Valgus’ in Tagalog

Hey everyone! Today, we’re diving into a common physical condition, knock knees , and how it’s understood in Tagalog. If you’ve ever wondered about this condition, or maybe you’ve heard the term before, this article is for you. We’ll break down what knock knees are, the causes, and most importantly, how to discuss it in Tagalog. Let’s get started!

What are Knock Knees? (Ano ang Knock Knees ?)

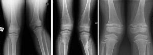
Knock knees , medically referred to as genu valgum , is a condition where a person’s knees angle inward, touching or even overlapping each other, while the ankles remain separated. Picture this: when standing with your feet together, there’s a noticeable gap between your ankles, and your knees are practically bumping into each other. It’s like your knees are giving each other a friendly (or not-so-friendly) hug! This can affect both children and adults, although it’s more common in children as they grow. It’s often a normal part of development in young children and usually corrects itself as they get older. However, in some cases, it can persist or develop later in life. This condition isn’t just about looks; it can impact your gait (the way you walk), how your joints function, and even the types of activities you can comfortably engage in. If you’re concerned about knock knees , it’s always best to consult with a healthcare professional to get an accurate diagnosis and understand any potential treatments or management strategies that might be suitable for you.

Genu valgum is more than just a cosmetic issue; it reflects an alignment problem in the lower extremities. The angle of the knees can affect the distribution of weight, potentially leading to increased stress on the inner parts of the knees and ankles. Over time, this can increase the risk of developing osteoarthritis or experiencing pain during activities that involve weight-bearing. The condition’s severity varies greatly from person to person. Some individuals might have a slight inward angle that doesn’t cause any problems, while others might experience significant pain and mobility limitations. Understanding the underlying causes is crucial for appropriate treatment and management. Factors such as genetics, nutrition, and underlying medical conditions can play a role. For example, conditions like rickets, caused by vitamin D deficiency, can lead to bone deformities, including knock knees . Similarly, injuries to the growth plates around the knee can also contribute to the condition. In any case, early detection and intervention can significantly impact the long-term prognosis. This might involve exercises, braces, or, in severe cases, surgical interventions to correct the alignment of the legs. Therefore, if you suspect that you or someone you know has knock knees , consult with a healthcare provider to determine the best course of action. This will help maintain good overall health and well-being.

Causes of Knock Knees (Mga Sanhi ng Knock Knees )

Knock knees can have various causes, and sometimes, it’s a combination of factors. In many young children, knock knees are a normal stage of development. As a child grows, their legs go through different stages of alignment. It is typical for toddlers to have a bowlegged appearance (legs curved outwards). This often progresses to knock knees as they get older, and usually resolves itself as they reach around seven or eight years of age. However, when the condition persists or becomes apparent later in life, it could be due to several factors. These include underlying medical conditions, injuries, and even genetic predispositions.

One of the most common causes of persistent knock knees is developmental issues . If the natural development of the bones in the legs is disrupted, the alignment can be affected. This can happen due to problems with the growth plates, the areas of cartilage at the ends of long bones where growth occurs. Another factor is nutritional deficiencies , particularly a lack of vitamin D, which can lead to rickets, a condition that softens and weakens bones, causing deformities. Injuries to the knee or growth plates can also contribute to the development of knock knees. A fracture, dislocation, or any trauma to the knee can affect how the bones grow and align. Similarly, underlying medical conditions can cause the condition, such as bone infections or genetic disorders affecting bone growth. Moreover, obesity is another factor that can exacerbate or contribute to the problem. The extra weight puts additional stress on the knees, potentially leading to misalignment. Finally, genetic factors also play a role. If a family member has knock knees, there’s a higher chance of developing the condition. Understanding these various causes can help in early diagnosis and appropriate intervention. If you or someone you know has concerns about the condition, it’s always best to seek a healthcare professional’s guidance to get the right assessment and treatment plan.

Knock Knees in Tagalog (Ang Knock Knees sa Tagalog)

So, how do you talk about knock knees in Tagalog? While there isn’t a direct, commonly used Tagalog word for