ICD 10 K00.6: Understanding Enamel Hypoplasia

L.Audent 144 views
ICD 10 K00.6: Understanding Enamel Hypoplasia

ICD 10 K00.6 Adalah: Understanding Enamel Hypoplasia

Alright, guys, let’s dive into what ICD-10 code K00.6 is all about. You might be scratching your heads, but don’t worry, we’ll break it down in simple terms. ICD-10, or the International Classification of Diseases, 10th Revision, is basically a way for healthcare professionals to classify and code different diseases, conditions, and symptoms. It’s like a universal language that helps everyone stay on the same page when it comes to health stuff. So, when we talk about ICD-10 K00.6 , we’re specifically referring to enamel hypoplasia .

Enamel hypoplasia, in simple words, is a defect that occurs when the enamel on your teeth doesn’t form properly. Enamel is that hard, protective outer layer of your teeth, and when it’s not up to par, you can run into a bunch of dental problems. This condition can manifest in various ways, from small pits and grooves to more significant areas of missing enamel. The severity can vary quite a bit, depending on what caused it and when it occurred during tooth development. Understanding this condition, its causes, and how it’s managed is super important for both dental professionals and anyone who might be affected by it. Early detection and proper care can make a huge difference in maintaining your oral health and preventing further complications. So, let’s get into the nitty-gritty of enamel hypoplasia and how the ICD-10 code K00.6 helps in diagnosing and treating it. This code isn’t just some random set of characters; it’s a key to unlocking the right treatment plan for those dealing with this condition. Let’s explore why it matters and what you need to know.

What is Enamel Hypoplasia?

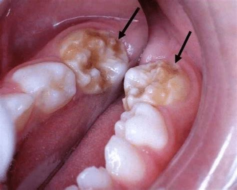
Enamel hypoplasia, as we touched on earlier, is a defect in the enamel of your teeth. Think of enamel as your teeth’s bodyguard—it’s the strong, outer layer that protects them from acids, bacteria, and all the other nasty stuff that can cause cavities and decay. When you have enamel hypoplasia, this bodyguard isn’t as strong as it should be, leaving your teeth vulnerable. This condition occurs while your teeth are still developing, usually during childhood. The cells responsible for producing enamel, called ameloblasts, get disrupted, leading to a thinner or weaker enamel layer.

The appearance of enamel hypoplasia can vary. You might see small pits or grooves on the surface of the teeth, or the teeth might have a rough, uneven texture. In more severe cases, there might be large areas of missing enamel, exposing the underlying dentin, which is softer and more prone to decay. Sometimes, the teeth can also appear discolored, with white, yellow, or brown spots. The location and severity of the defects depend on when the disruption occurred during tooth development and what caused it. For example, if the disruption happened early on, it might affect a larger portion of the tooth. Identifying enamel hypoplasia early is crucial because it can lead to several dental issues down the line. Because the enamel is thinner or weaker, teeth are more susceptible to cavities. They can also be more sensitive to temperature changes, making it uncomfortable to eat hot or cold foods. Additionally, the altered appearance of the teeth can affect a person’s self-esteem. Knowing what to look for and seeking timely dental care can help manage these issues and protect your smile. Remember, a healthy enamel is your best defense against tooth decay, so taking care of it is super important!

Causes of Enamel Hypoplasia

Alright, let’s dig into what causes enamel hypoplasia. There are several factors that can disrupt the formation of enamel during tooth development. These can be broadly categorized into genetic and environmental factors.

Genetic Factors: Sometimes, enamel hypoplasia runs in the family. Certain genetic mutations can affect the way ameloblasts (the cells that form enamel) function, leading to enamel defects. If there’s a history of enamel hypoplasia in your family, you might be more likely to have it too. These genetic conditions can impact the structure and quality of the enamel, making it more prone to issues. It’s like inheriting a blueprint that isn’t quite right for building strong enamel.

Environmental Factors: A whole host of environmental factors can also play a role. Nutritional deficiencies, especially a lack of calcium, vitamin D, and vitamin A, can interfere with enamel formation. These nutrients are essential building blocks for healthy teeth, and if you don’t get enough of them during childhood, it can affect your enamel. Certain childhood illnesses, like measles, chickenpox, and severe infections, can also disrupt enamel development. High fevers associated with these illnesses can damage ameloblasts. Exposure to certain chemicals, such as fluoride (in excessive amounts), can lead to fluorosis, which affects enamel formation. Trauma to the teeth during childhood, like a blow to the mouth, can also damage developing enamel. Premature birth and low birth weight have also been linked to an increased risk of enamel hypoplasia. These factors can stress the developing teeth and interfere with enamel formation. Lastly, certain medications taken during pregnancy or early childhood, like tetracycline antibiotics, can cause enamel defects. It’s important to note that sometimes, the exact cause of enamel hypoplasia can be hard to pinpoint. In many cases, it’s a combination of factors that contribute to the condition. Identifying potential causes is important for managing and preventing further dental issues. If you suspect you or your child might have enamel hypoplasasia, it’s best to consult with a dentist to get a proper diagnosis and treatment plan.

Diagnosis of Enamel Hypoplasia (ICD-10 K00.6)

Diagnosing enamel hypoplasia involves a thorough examination by a dentist. When you go in for a check-up, your dentist will carefully look at your teeth for any signs of enamel defects. This includes checking for pits, grooves, discoloration, and areas of missing enamel. They’ll also ask about your medical history, including any childhood illnesses, medications you’ve taken, and your family’s dental history. This information can help them determine the possible causes of the enamel hypoplasia. X-rays might also be taken to assess the extent of the enamel defects and check for any underlying issues, like cavities. In some cases, the dentist might use a special light or dye to highlight areas of enamel damage. Once the dentist has gathered all the necessary information, they’ll make a diagnosis of enamel hypoplasia. This diagnosis is often coded using the ICD-10 system, and that’s where K00.6 comes in. The ICD-10 code K00.6 specifically indicates enamel hypoplasia, helping to standardize the diagnosis for record-keeping and insurance purposes. Proper diagnosis is crucial for several reasons. First, it helps to identify the extent of the problem and determine the best course of treatment. Second, it can help rule out other conditions that might cause similar symptoms. Finally, it allows for accurate tracking and monitoring of the condition over time. If you notice any unusual spots, pits, or discoloration on your teeth, it’s always a good idea to see a dentist. Early diagnosis and treatment can help protect your teeth and prevent further damage.

Treatment Options for Enamel Hypoplasia

So, you’ve been diagnosed with enamel hypoplasia – what’s next? The good news is that there are several treatment options available to help manage the condition and protect your teeth. The specific treatment will depend on the severity of the enamel hypoplasia and your individual needs.

Fluoride Treatments

For mild cases of enamel hypoplasia, fluoride treatments can be very effective. Fluoride helps to strengthen the existing enamel and make it more resistant to acid attacks. Your dentist might recommend fluoride varnish, gel, or toothpaste. These treatments can help to remineralize the enamel and prevent cavities.

Dental Sealants

Dental sealants are another option for protecting teeth with enamel hypoplasia. Sealants are thin, plastic coatings that are applied to the chewing surfaces of the teeth. They create a barrier that prevents bacteria and food particles from coming into contact with the enamel, reducing the risk of cavities. Sealants are particularly useful for teeth with pits and grooves, as they can seal off these areas and make them easier to clean.

Fillings

If the enamel hypoplasia has led to cavities, fillings might be necessary. Fillings are used to repair the damaged areas of the teeth and restore their shape and function. There are several types of filling materials available, including composite resin, amalgam, and glass ionomer. Your dentist will help you choose the best option for your needs.

Crowns

In more severe cases of enamel hypoplasia, where there is significant enamel loss, crowns might be recommended. Crowns are tooth-shaped caps that cover the entire tooth, providing strength and protection. They can also improve the appearance of the tooth. Crowns are typically made of porcelain, ceramic, or metal.

Veneers

Veneers are thin shells that are bonded to the front surface of the teeth. They can be used to improve the appearance of teeth with enamel hypoplasia, especially if there is discoloration or an uneven texture. Veneers are typically made of porcelain or composite resin.

Tooth Whitening

If the enamel hypoplasia has caused discoloration, tooth whitening might be an option. However, it’s important to talk to your dentist first, as whitening can sometimes make the discoloration more noticeable in certain cases. Your dentist can recommend the best whitening method for your specific situation.

Preventive Measures

Regardless of the treatment you choose, it’s important to practice good oral hygiene to prevent further damage to your teeth. This includes brushing your teeth twice a day with fluoride toothpaste, flossing daily, and visiting your dentist regularly for check-ups and cleanings. Your dentist might also recommend dietary changes, such as reducing your intake of sugary and acidic foods, to protect your enamel.

Living with Enamel Hypoplasia

Living with enamel hypoplasia can present some challenges, but with the right care and management, you can maintain good oral health and a confident smile. One of the biggest challenges is the increased risk of cavities. Because the enamel is thinner or weaker, your teeth are more vulnerable to acid attacks and decay. That’s why it’s super important to be extra diligent about your oral hygiene. Brush your teeth at least twice a day with fluoride toothpaste, and don’t forget to floss daily to remove plaque and food particles from between your teeth. Regular dental check-ups are also crucial. Your dentist can monitor your teeth for any signs of decay and provide preventive treatments like fluoride applications or sealants. They can also catch any problems early, before they become more serious.

Sensitivity to temperature changes can also be an issue. Many people with enamel hypoplasia find that their teeth are more sensitive to hot and cold foods and drinks. Using toothpaste designed for sensitive teeth can help to reduce this discomfort. You might also want to avoid very hot or cold foods and drinks. The appearance of your teeth can also affect your self-esteem. If you’re self-conscious about the way your teeth look, talk to your dentist about cosmetic options like veneers or crowns. These treatments can improve the appearance of your teeth and give you a smile you’re proud of. Diet also plays a big role in managing enamel hypoplasia. Limit your intake of sugary and acidic foods and drinks, as these can erode your enamel and increase your risk of cavities. Instead, focus on eating a healthy, balanced diet that’s rich in calcium and other nutrients that are important for strong teeth. Remember, living with enamel hypoplasia requires a proactive approach. By taking good care of your teeth, following your dentist’s recommendations, and making healthy lifestyle choices, you can protect your smile and enjoy good oral health for years to come.

Conclusion

So, there you have it, guys! ICD-10 code K00.6 is all about enamel hypoplasia, a condition that affects the development of tooth enamel. We’ve covered what it is, what causes it, how it’s diagnosed, and what treatment options are available. Living with enamel hypoplasia can be a bit of a challenge, but with the right care and management, you can keep your teeth healthy and your smile bright. Remember, good oral hygiene is key. Brush and floss regularly, see your dentist for check-ups, and watch your diet. If you think you might have enamel hypoplasia, don’t hesitate to talk to your dentist. Early diagnosis and treatment can make a big difference. Stay informed, stay proactive, and keep smiling!