Aortic Elongation & Calcification: What You Need To Know

L.Audent 131 views
Aortic Elongation & Calcification: What You Need To Know

Aortic Elongation and Calcification: Understanding Your Aorta’s Health

Hey everyone! Today, we’re diving deep into something super important for your cardiovascular health: aortic elongation with calcification . Now, I know that sounds a bit medical and maybe a little scary, but trust me, understanding these terms can empower you to take better care of yourselves. Think of your aorta as the superhighway of your circulatory system – it’s the main artery carrying oxygen-rich blood from your heart to the rest of your body. When this highway starts to change, particularly by becoming longer and developing calcium deposits, it’s our cue to pay attention. We’ll break down what aortic elongation means, explore why calcification happens, discuss the risks involved, and most importantly, what you can do about it. So, grab a cup of coffee, get comfy, and let’s get this knowledge party started!

What Exactly is Aortic Elongation?

Alright guys, let’s kick things off by understanding aortic elongation . Imagine your aorta, this massive, stretchy tube responsible for delivering life-giving blood everywhere. Normally, it has a certain shape and length. Aortic elongation basically means that this main artery is becoming longer than it should be. It’s not just a little stretch; it’s a significant lengthening that can cause it to buckle or curve more than usual. Think of it like an old rubber band that’s been used too much – it loses its elasticity and starts to sag and stretch out. This loss of elasticity is a key factor. As we age, our blood vessels, including the aorta, naturally lose some of their flexibility. This process is called arteriosclerosis , often referred to as hardening of the arteries. When the aorta loses its suppleness, it has to work harder to accommodate the pulsing blood flow from your heart. To compensate, it might stretch out, leading to elongation. This can cause the aorta to deviate from its normal path, sometimes resulting in a more tortuous or winding route through your chest and abdomen. This elongation isn’t just a cosmetic change; it can put extra stress on the aortic walls and affect blood flow dynamics. It’s like bending a hose – if you bend it too much, the water flow can be restricted or turbulent. So, while aging is a primary driver, other factors can accelerate this process. Things like high blood pressure (hypertension) continuously push against the artery walls, weakening them over time and contributing to stretching. Smoking is another major culprit, as it damages blood vessel linings and impairs elasticity. Genetic factors can also play a role, predisposing some individuals to weaker connective tissues in their blood vessels. Ultimately, aortic elongation is a sign that your aorta is undergoing changes associated with aging and, often, other lifestyle or health-related factors. It’s a marker of reduced vascular health, and it often goes hand-in-hand with other conditions we’ll talk about next.

The Role of Calcification: Hardening the Arteries

Now, let’s talk about the other half of the equation: calcification . When we mention calcification in the context of arteries, especially the aorta, we’re talking about the buildup of calcium deposits within the artery walls. It’s like getting plaque buildup, similar to what happens in coronary arteries, but specifically affecting the aorta. This isn’t the healthy calcium our bones need; this is calcium that accumulates in the wrong places, making the aorta stiff and brittle . So, you have elongation, making it longer, and then calcification, making it hard. This combination is a double whammy for your aortic health. Why does this happen? Well, it’s often linked to aging, just like elongation. As we get older, the cells in our artery walls can become damaged, and this damage can trigger a process where calcium salts begin to deposit in the vessel walls. It’s a complex biological process, but think of it as wear and tear. Calcification is a key component of atherosclerosis , the same disease process that causes hardening and narrowing of the coronary arteries. It’s essentially the body’s response to damage, inflammation, and the accumulation of cholesterol and other substances within the artery wall. High cholesterol levels, particularly high LDL (“bad”) cholesterol, are a major contributor. When LDL cholesterol infiltrates the artery wall, it can trigger an inflammatory response, leading to the formation of plaque. Over time, this plaque can harden as calcium is deposited within it. Other risk factors mirror those of heart disease: high blood pressure , diabetes , smoking , obesity , and a family history of cardiovascular disease all increase your risk of developing aortic calcification. It’s not just the calcium itself; the process of calcification often signifies underlying inflammation and damage to the arterial wall. This hardening makes the aorta less able to expand and contract with each heartbeat, leading to increased stress on the heart and potentially affecting blood flow. It’s a clear indicator that the artery is not functioning as it should be. The presence of calcification is a significant marker of cardiovascular risk, suggesting that the entire vascular system may be affected. It’s a visual representation of the damage that can occur over years of exposure to various risk factors. So, when we talk about aortic elongation with calcification, we’re really talking about a vessel that is both physically stretched out and structurally weakened due to calcium buildup.

Why Should You Be Concerned? The Risks Involved

Okay, so we’ve got a longer, harder aorta. Why is this a big deal, you ask? Aortic elongation with calcification isn’t just a description; it signifies an increased risk for several serious cardiovascular problems. The primary concern is the increased strain on the heart . Because the aorta is less flexible and longer, it can’t absorb the force of the blood pumped from the heart as efficiently. This means the heart has to work harder to push blood through a stiff, elongated vessel. Over time, this extra workload can lead to left ventricular hypertrophy , which is a thickening of the heart muscle, and can eventually contribute to heart failure . Another major worry is related to blood flow . The altered shape and stiffness can disrupt the smooth flow of blood, potentially leading to turbulent flow . This turbulence can increase the risk of blood clots forming within the aorta. These clots, if they break loose, can travel to other parts of the body, causing serious issues like stroke or peripheral artery disease . The weakened and calcified walls of the aorta are also more susceptible to damage. A significant concern is the risk of aneurysm formation . An aneurysm is a bulge or swelling in a weakened part of an artery wall. Because the aortic wall is compromised by elongation and calcification, it becomes more prone to developing these dangerous bulges, particularly in the abdominal aorta (AAA). If an aortic aneurysm ruptures, it’s often catastrophic and life-threatening. Furthermore, the calcification itself can contribute to narrowing of the aorta, although this is less common than in smaller arteries. This can impede blood flow to vital organs. The presence of aortic calcification is also a strong predictor of overall cardiovascular disease. Studies have shown that individuals with significant aortic calcification are at a higher risk of experiencing heart attacks, strokes, and other cardiovascular events, even if they don’t have obvious symptoms. It’s like a red flag waving, indicating that your vascular system is under significant stress and is more vulnerable. So, while the terms might sound benign, the implications for your health are profound. It highlights the interconnectedness of vascular health and overall well-being. Ignoring these signs can lead to potentially life-altering or even life-ending conditions. That’s why regular check-ups and understanding your risk factors are so crucial, guys. It’s about proactive health management!

What Causes Aortic Elongation and Calcification?

Let’s dive a bit deeper into why this happens, shall we? The primary driver for both aortic elongation and calcification is aging . As we get older, our bodies naturally undergo changes, and our blood vessels are no exception. The elastic fibers in the aorta, which allow it to stretch and recoil with each heartbeat, begin to break down. This loss of elasticity makes the aorta more prone to lengthening and stiffening. Think of it like the aging process affecting your skin – it loses its firmness and elasticity. But aging isn’t the only player in town. Hypertension , or high blood pressure, is a massive contributor. Constantly high pressure forces the blood against the aortic walls, weakening them over time and promoting both stretching (elongation) and the deposition of calcium (calcification) as a response to the damage and stress. If you have uncontrolled high blood pressure, you’re significantly increasing your risk. Then there’s atherosclerosis , the underlying disease process that often leads to calcification. This involves the buildup of fatty plaques within the artery walls, composed of cholesterol, inflammatory cells, and other debris. As these plaques age, they can become calcified, hardening the artery. So, high cholesterol is definitely a risk factor here, especially high LDL cholesterol. Diabetes also plays a significant role. High blood sugar levels can damage blood vessel linings, accelerating the processes of atherosclerosis, inflammation, and calcification. People with diabetes often have other co-existing risk factors like hypertension and high cholesterol, creating a perfect storm for vascular disease. Smoking is another major enemy. The chemicals in cigarette smoke damage the endothelium (the inner lining of blood vessels), promote inflammation, and contribute to both the development of plaques and their calcification. Quitting smoking is one of the best things you can do for your aortic health. Obesity and a sedentary lifestyle are linked to increased risks of hypertension, diabetes, and high cholesterol, all of which contribute to aortic changes. Finally, genetics can’t be ignored. Some people may have a genetic predisposition to developing weaker connective tissues or a tendency towards vascular calcification, making them more susceptible even with a healthy lifestyle. It’s often a combination of these factors, acting over many years, that leads to the development of aortic elongation with calcification. It’s a complex interplay, but understanding these causes helps us target prevention and management strategies.

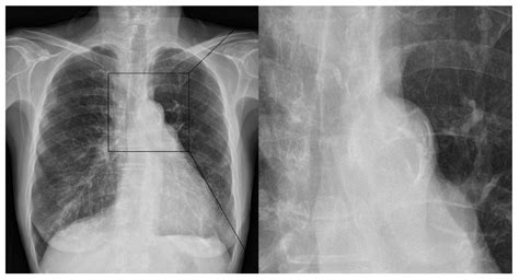
Diagnosing Aortic Elongation and Calcification

So, how do doctors figure out if you have aortic elongation with calcification ? The good news is that there are several ways to detect these changes, and often they are found incidentally during imaging tests done for other reasons. X-rays can sometimes show calcification in the aorta, especially in the chest or abdominal regions, appearing as white lines. However, X-rays aren’t always detailed enough to assess elongation or the extent of calcification accurately. A more common and informative tool is an ultrasound . Abdominal ultrasounds are frequently used to screen for aortic aneurysms, and during this scan, the radiologist can also assess the aorta’s length and look for calcification. Chest ultrasounds can also provide some information about the thoracic aorta. Computed Tomography (CT) scans are excellent for visualizing the aorta. A CT scan provides detailed cross-sectional images of the body, allowing doctors to precisely measure the aorta’s length, assess its curvature, and clearly see the pattern and extent of calcification. Contrast dye is often used to make the blood vessels stand out even more. Magnetic Resonance Imaging (MRI) is another powerful imaging technique that can provide detailed images of the aorta without using radiation. It’s particularly good at showing the structure of the aorta and can also detect calcification and elongation. Sometimes, doctors might use echocardiography (an ultrasound of the heart) to visualize the aortic root and the ascending aorta, especially if they suspect issues related to the valves or the proximal part of the aorta. If you have risk factors for cardiovascular disease, like hypertension, high cholesterol, or diabetes, your doctor might order these imaging tests as part of a regular health assessment or if you’re experiencing certain symptoms. Often, calcification is noted as an incidental finding on scans performed for other medical conditions. The key is that a healthcare professional reviews these images and interprets them in the context of your overall health. They’ll look for specific signs like increased tortuosity, loss of the normal aortic contour, and visible calcium deposits along the vessel walls. Early detection is key, as it allows for timely intervention and management of the associated risks.

Managing Your Aortic Health: Prevention and Treatment

Alright, let’s talk about the most important part: what can we do about aortic elongation with calcification ? The good news is that while we can’t reverse aging, we can definitely manage the risk factors and slow down the progression of these changes, and more importantly, manage the risks associated with them. Prevention is always better than cure, right? The cornerstone of managing aortic health is adopting a heart-healthy lifestyle . This means controlling those major risk factors we talked about. Managing blood pressure is paramount. If you have hypertension, working with your doctor to keep your blood pressure within a healthy range through diet, exercise, and medication is crucial. Controlling cholesterol levels is also key. A diet low in saturated and trans fats, combined with medication if necessary, can help keep LDL cholesterol in check. Managing diabetes effectively is non-negotiable for those with the condition. Keeping blood sugar levels stable reduces damage to blood vessels. Quitting smoking is one of the single most impactful steps you can take. It dramatically reduces your risk of vascular damage and improves circulation. Maintaining a healthy weight through a balanced diet and regular physical activity helps manage blood pressure, cholesterol, and diabetes. Regular, moderate exercise strengthens your heart and improves blood vessel function. Eating a healthy diet , rich in fruits, vegetables, whole grains, and lean proteins, and low in processed foods, salt, and unhealthy fats, supports overall cardiovascular health. For treatment, the focus is primarily on managing the underlying conditions and reducing the risk of complications. There aren’t specific medications to ‘un-elongate’ or ‘de-calcify’ the aorta directly. Instead, treatment strategies aim to prevent further hardening, reduce strain on the heart, and lower the risk of events like aneurysms or strokes. This often involves medications such as statins to lower cholesterol and prevent plaque progression, blood pressure medications to keep hypertension under control, and sometimes aspirin or other antiplatelet medications to reduce the risk of blood clots, especially if there are other signs of cardiovascular disease. In cases where aortic elongation has led to significant complications, such as a large aneurysm, surgical intervention might be necessary. This could involve repairing or replacing the weakened section of the aorta. Regular monitoring through imaging tests is also important to track the progression of calcification and watch for any signs of aneurysm formation. So, while you can’t turn back the clock, you absolutely can take significant steps to protect your aorta and your overall heart health. It’s all about being proactive and making smart choices every day!

Conclusion: Taking Charge of Your Aortic Well-being

So, there you have it, guys! We’ve covered the essentials of aortic elongation with calcification . We learned that it’s a condition where your main artery, the aorta, becomes longer and develops calcium deposits, making it stiffer and less flexible. We explored how this happens, often due to aging, but significantly influenced by factors like high blood pressure, high cholesterol, diabetes, smoking, and obesity. We also highlighted the serious risks involved, including increased strain on the heart, potential for blood clots, stroke, and the dangerous possibility of aortic aneurysms. The good news? You are not powerless! By understanding these risks and focusing on prevention and management through a healthy lifestyle – controlling blood pressure, cholesterol, and blood sugar, quitting smoking, maintaining a healthy weight, and eating well – you can significantly impact your aortic health. Regular check-ups with your doctor are vital for early detection and proper management. Remember, your aorta is crucial for delivering life-sustaining blood throughout your body. Taking proactive steps to keep it healthy is an investment in your overall well-being and longevity. Don’t be intimidated by the medical terms; educate yourself, talk to your healthcare provider, and make those positive changes. Your heart, and your aorta, will thank you for it! Stay healthy out there!